Cuando la pérdida de hueso en el maxilar superior impide la colocación de implantes convencionales, los implantes cigomáticos se presentan como una solución innovadora, segura y eficaz. Esta técnica avanzada permite recuperar la función masticatoria y la estética oral en pacientes con atrofia ósea severa, sin necesidad de recurrir a injertos. En Clínica Curull, somos especialistas en el tratamiento con implantes cigomáticos y en esta guía completa te explicamos todo lo que necesitas saber sobre esta solución revolucionaria.
¿Qué son los implantes cigomáticos?
Los implantes cigomáticos son un tipo especial de implantes dentales diseñados para anclarse en el hueso cigomático (el pómulo), en lugar de hacerlo en el hueso del maxilar superior, como ocurre con los implantes convencionales. Esto los convierte en una opción ideal para pacientes con una falta de hueso considerable, donde la colocación de implantes tradicionales no es viable sin recurrir a injertos.
Gracias a su longitud y diseño, estos implantes alcanzan zonas más densas del hueso facial, lo que les permite ofrecer un anclaje firme y duradero incluso en casos de reabsorción ósea severa.
¿Cuándo se recomienda utilizar implantes cigomáticos?
La colocación de implantes cigomáticos está indicada en pacientes con:
Pacientes con pérdida ósea severa en el maxilar superior
En aquellos casos donde el paciente presenta una reabsorción importante del hueso maxilar debido al paso del tiempo, enfermedades periodontales o pérdida dental prolongada. Esta condición impide colocar implantes en el posterior del maxilar con técnicas convencionales.
Fracaso de injertos óseos o técnicas previas
Cuando el injerto de hueso ha fracasado o no se considera adecuado por la edad o estado general del paciente, los implantes en el hueso cigomático permiten evitar procedimientos invasivos adicionales y reducir tiempos de espera para la rehabilitación oral.
Te puede interesar este artículo sobre reemplazar dientes perdidos
Diferencias entre los implantes cigomáticos y los tradicionales
Aunque ambos pertenecen a los distintos tipos de implantes dentales disponibles, existen diferencias fundamentales entre ellos:
Longitud, anclaje y punto de inserción
- Implantes cigomáticos: mucho más largos (hasta 55 mm), se insertan en el hueso cigomático, una estructura más densa y resistente que el hueso del maxilar.
- Implantes convencionales: más cortos, requieren una buena cantidad y calidad de hueso en el maxilar superior para ser efectivos.
Los implantes cigomáticos suelen colocarse en ángulo y, a menudo, se combinan con implantes tradicionales en la parte frontal del maxilar.

Procedimiento quirúrgico de colocación
La colocación de implantes cigomáticos es un procedimiento avanzado que requiere alta especialización quirúrgica y planificación digital en 3D.
¿Cómo se realiza la cirugía de implantes cigomáticos?
El procedimiento suele realizarse con anestesia local y, en algunos casos, sedación consciente para mayor confort. Mediante técnicas mínimamente invasivas, el especialista accede al hueso cigomático desde el interior de la cavidad bucal y coloca el implante de forma precisa, con la ayuda de guías quirúrgicas personalizadas.
Normalmente, se colocan dos implantes cigomáticos en la parte posterior del maxilar, que se combinan con dos o más implantes convencionales en la parte anterior. Esto permite ofrecer una prótesis fija y una distribución óptima de la carga masticatoria.
¿Es doloroso o requiere hospitalización?
La intervención no requiere hospitalización. El paciente puede regresar a casa el mismo día. Gracias a la tecnología empleada y la experiencia del equipo médico, las molestias postoperatorias son mínimas y pueden controlarse con analgésicos comunes. El reposo relativo y una dieta blanda durante los primeros días son las principales recomendaciones.
Ventajas de los implantes cigomáticos frente a otras soluciones
Los implantes cigomáticos se colocan como alternativa directa a los injertos óseos, eliminando las largas esperas y complicaciones asociadas. Sus principales ventajas son:
Rehabilitación inmediata: dientes fijos en 24-48h
Gracias a la técnica de carga inmediata, el paciente puede disfrutar de dientes fijos provisionales en tan solo uno o dos días después de la intervención, recuperando la estética y la función masticatoria sin tener que esperar meses.
Alta tasa de éxito en pacientes con atrofia ósea
La tasa de éxito de los tratamientos con implantes cigomáticos es muy alta, incluso en casos de maxilar severamente reabsorbido. Estudios clínicos muestran resultados favorables superiores al 95% a largo plazo, siempre que el tratamiento esté realizado por un equipo especializado.
Riesgos y posibles complicaciones
Aunque se trata de un procedimiento seguro, como toda cirugía puede implicar algunos riesgos:
- Inflamación o hematomas temporales
- Pequeñas molestias en la zona del pómulo
- Complicaciones sinusales en casos excepcionales
Estos riesgos se minimizan mediante un correcto diagnóstico, tecnología de vanguardia y profesionales con experiencia en implantología avanzada.
¿Qué cuidados requiere un implante cigomático?
Una vez colocados los implantes, es fundamental mantener una higiene oral impecable, acudir a las revisiones periódicas y seguir las recomendaciones del especialista. El seguimiento profesional garantiza la integración del implante y la salud de los tejidos circundantes.
Aprende más: Cuidados del postoperatorio de un implante dental
¿Qué tipo de prótesis se coloca sobre un implante cigomático?
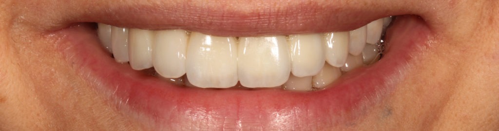
Sobre los implantes cigomáticos se puede colocar una prótesis fija completa, tanto provisional como definitiva. Esta prótesis reemplaza todos los dientes superiores perdidos, permitiendo al paciente masticar, hablar y sonreír con total normalidad.
Tras la fase inicial con dientes provisionales, se diseña y fabrica la prótesis definitiva adaptada a la morfología y estética facial del paciente, utilizando materiales como cerámica o zirconio.
Implantes cigomáticos en Clínica Curull: tecnología y experiencia
En Clínica Curull, contamos con un equipo experto en implantología avanzada, liderado por especialistas en técnicas mínimamente invasivas y cirugía guiada. Gracias al uso de escáneres 3D, planificación digital y simulaciones virtuales, garantizamos la precisión absoluta en la colocación de implantes cigomáticos.
Además, nuestro enfoque integral permite a los pacientes recuperar su calidad de vida en tiempo récord, con un entorno seguro, tecnología puntera y un trato personalizado en todo momento.
Casos clínicos de éxito
Hemos rehabilitado con éxito a decenas de pacientes que, tras años con prótesis removibles o sin soluciones viables, han logrado volver a sonreír y comer con confianza gracias a esta técnica revolucionaria. Nuestros resultados clínicos están avalados por fotografías, testimonios y seguimientos a largo plazo.
Ver más sobre este caso de éxito
Recuperar la sonrisa incluso sin hueso maxilar
Los implantes cigomáticos son una solución real, eficaz y cada vez más accesible para quienes han perdido la esperanza de volver a tener dientes fijos. Si padeces una falta de hueso importante en el maxilar superior o ya has intentado sin éxito otras opciones, esta técnica puede cambiar tu vida.
No dejes que la atrofia ósea limite tu bienestar. Consulta con nuestros especialistas en Clínica Curull y descubre si eres candidato para el tratamiento con implantes cigomáticos.
Preguntas frecuentes sobre implantes cigomáticos
¿Los implantes cigomáticos son permanentes?
Sí. Están diseñados para integrarse completamente en el hueso cigomático y ofrecer estabilidad a largo plazo. Con los cuidados adecuados, pueden durar décadas, igual que los implantes tradicionales.
¿Cuál es el precio aproximado de este tratamiento?
El coste puede variar según el número de implantes necesarios y la complejidad del caso. En Clínica Curull ofrecemos un plan de tratamiento personalizado, transparente y con facilidades de financiación.
¿Puedo llevar dientes fijos el mismo día?
Sí. Gracias a la carga inmediata, es posible colocar los implantes y una prótesis fija provisional en un plazo de 24 a 48 horas, lo que supone una gran ventaja para el paciente.




